Orthodontic treatment aims to establish adequate dental harmonization based on physiological and aesthetic criteria. In the search for these therapeutic objectives, the biological state of the periodontal structures surrounding the tooth may be affected by tooth displacement. Although orthodontic treatment has been indicated to promote gingival health, particularly interdental papillae, by obtaining an adequate position of the teeth and the contacts between them, other studies show serious concerns about the occurrence of pathological events in orthodontic therapy.1,2 One of the most noted unwanted effects is gingival hypertrophy (GH), whose prevalence is more than 50% in studied populations.3
GH is an uncontrolled increase in gingiva volume, which can be spontaneous or induced and may be accompanied by gingival bleeding, periodontal disorders, and even occlusal alterations.4 In addition of GH in patients with orthodontics, other types of gingival hypertrophy have been identified, including GH associated with systemic diseases, neoplastic GH and drug- induced GH.5,6,7 Reports indicate that GH in orthodontic patients starts from the first month after placing the fixed appliances.8 Although its pathogenesis remains unknown, mechanical irritation by orthodontic bands, chemical irritation by the cements used, the impact of food, and poor oral hygiene have been reported to be inducing factors of GH during orthodontic treatment.9,10 Other authors suggest that a low, continuous dose of nickel released to the epithelium is a trigger of this pathology.11,12
Histologically, orthodontic patients with GH have hyperplastic and acanthotic tissue with the presence of altered epithelial cells.13 In addition to thickening and fused epithelial crests, changes in connective tissue related to the accumulation of extracellular matrix (ECM) components have been reported.14 In this altered or fibrotic tissue, the relative amount of collagen is likely to vary. Collagen is the most abundant ECM molecule, which is synthesized by gingival fibroblasts. It acts as a buffer and provides mechanical forces and elasticity to the gingival connective tissue.15 In healthy gingiva, type I collagen (90%) and type III collagen (8%) are the most abundant. The former consists of thick and large fibers, while in the latter the fibers are short, thin and located under the basal membrane and around blood vessels.16
In patients with genetic and drug-based GH, there is a buildup of type I collagen.17 This collagen deposit might be related to the increase in HSP47 (heat shock protein 47) involved in the secretion of type I collagen under the effect of TGF-beta.18 However, there is not enough data on type III collagen and its location in fibrotic tissues, particularly in orthodontic patients with GH. The aim of this study was to determine the presence and distribution of type III collagen in the gingival tissue of orthodontic patients with GH.
In this research, 12 patients were selected and divided into two study groups. The first group consisted of periodontally healthy subjects (pink gingiva and no bleeding) with no orthodontic appliances (control; n=6) and the second group consisted of patients with clinical diagnosis of GH and orthodontic treatment (patients; n=6). Participants were seen at the Gingival Hypertrophy Reference Center of the Universidad de Cartagena’s School of Dentistry (Cartagena, Colombia). The inclusion criteria were as follows: patients over the age of 18, in good systemic health, who were not undergoing pharmacological treatment, were diagnosed with generalized GH (≥ 30 in mouth) and had ongoing orthodontic treatment (≥ 1 year), located in the interdental and marginal gingiva without exceeding 1/3 of the clinical crown, and O’Leary plaque index of 15%. Patients with periodontitis, radiographic signs of bone loss, smokers, and individuals undergoing periodontal surgeries less than 1 year prior to the study were excluded. All were informed of the study’s objectives, and they all filled out and signed an informed consent. This research project was approved by the Universidad de Cartagena’s Ethics Research Committee as recorded in minutes No. 94 of 16/02/2017. The procedures carried out complied with the ethical standards set out in the Helsinki Declaration and Resolution 008430 of 1993 of Colombia’s Ministry of Health.19
Patients were initially subjected to an extra- and intraoral clinical examination by an oral pathologist. In the control group, samples were obtained after coronal elongation surgery for prosthetic or aesthetic reasons. In the GH patient group, biopsies were collected after a gingivectomy. Both interventions were performed by a periodontist under infiltrative anesthesia with 2% Lidocaine and 1:80000 epinephrine in the surgical area. An incision was made to external and intrasulcular bezel with Bard Parker scalpel leaf No. 15. A 7-day post-surgical assessment allowed checking an adequate tissue healing in all participants, without complications. Tissues obtained were deposited into Eppendorf tubes, rinsed immediately in phosphate buffered saline solution (1X PBS, Gibco™) and cut into 3-5 mm3 segments. They were then fixed for 48 hours in 4% buffered paraformaldehyde.
The tissues were then dehydrated in a series of ethanol solutions (30%, 60%, 80%, 95%, 100%) for 5 minutes each, followed by xylene baths (Leica Biosystems) and included in paraffin. For each obtained block, 5 μm serial section were made in a Leica RM2125 RST microtome. The section were mounted on polysine adhesion slides (Thermo Scientific™). Finally, three consecutive slides of the same block were selected for each patient for hematoxylin-eosin (HE) and Masson-Goldner (MG) staining, and type III anti-collagen immunohistochemistry. All procedures were performed at the Research Unit of Basic Dental Sciences of the Universidad de Cartagena.
For H&E staining, tissue sections were deposited in xylene baths (Leica Biosystems) and rehydrated in alcohol (100%, 95%, 80%, 60%, 30%). Then they were stained with Mayer hematoxylin (5 minutes) and washed in distilled water. Acid-alcohol differentiation was carried out for 30 seconds, followed by eosin coloration in eosin for 3 minutes and a final rinse in distilled water. Finally, the slides were dehydrated, rinsed in xylene, and mounted on an anhydrous mounting medium (DPX, Sigma-Aldrich). Observations of shape and epithelial and connective tissue cells were made under a Leica DM 500 optical microscope with a built-in camera.
After deparaffinizing and rehydrating the slides in alcohol, they were submerged in Mayer hematoxylin for 20 minutes, rinsed in water and incubated for 30 seconds for acid-alcohol differentiation. The slides were then colored in three solutions: azofloxin solution (10 minutes), phosphor plastic- orange acid solution G (1 minute) and green light (2 minutes). After each step through the above solutions, samples were distilled in water. Finally, the slides were mounted with DPX (Sigma-Aldrich).
The serial sections of gingival tissue of the two study groups were deparaffinized in xylene and rehydrated in ethanol. Antigen recovery was performed by incubating the sections in citrate buffer (pH 6) for 20 minutes at 97°C. Endogenous peroxidases were blocked with 3% hydrogen peroxidase for 15 minutes. The sections were rinsed 3 times for 5 minutes with washing solution (Tris buffered saline (1X TBS, Gibco™ + polyoxyethylene monolaurate), 20 sorbitan or Tween®20 to 0.05%). Specific sites of the sections were then blocked with normal horse serum (Vector Laboratories) for 20 minutes and then they were incubated with anti-collagen type III primary antibody (Mouse monoclonal antibody, dilution 1:500, clone FH-7A, Sigma-Aldrich), overnight at 4°C. The next day, 3 rinses for 5 minutes each were performed in the washing solution. The sections were then incubated for 30 minutes in an anti-mouse biotin secondary antibody (Goat Anti-Mouse IgG Antibody (H+L), Biotinylated, R.T.U. BP- 9200, dilution 1:200 - Vector Laboratories) at room temperature. This was followed by three 5-minute rinses in washing solution and incubated with R.T.U. VECTATASTAIL® ABC (Vector Laboratories) for 30 minutes to visualize the markings. Immunostaining was revealed using a peroxidase substrate solution for 4 minutes. The reaction was stopped in successive rinses with distilled water. Finally, the sections were counter- colored with Mayer hematoxylin for 30 seconds, dehydrated in ethanol, xylene and mounted with DPX. Observations were made on a Leica DM 500 optical microscope connected to a camera.
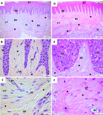
Of the 12 patients, 50% (6) were female. The average age was 22.8 years in the control group and 20.8 years in the group of orthodontic patients with GH. The control group’s gingival tissue samples stained with hematoxylin-eosin showed a stratified epithelial tissue, with a thin layer of keratin and epithelial cells with defined, round, or oval nuclei (Figure 1A). There were multiple epithelial extensions targeting the underlying connective tissue, a basal stratum with round or flattened nuclei, and a continuous basal membrane delimiting the connective epithelial tissue (Figure 1B). In the connective tissue, there were fusiform-looking gingival fibroblasts with elongated nucleus and surrounded by collagen fibers. These fibers were evenly distributed throughout the tissue, and some of them were seen around the blood vessels (Figures 1A, B, and C).
In orthodontic patients with GH, a keratinized, hyperplastic epithelial tissue with elongated epithelial prolongations was observed, with some of them fusing together (Figure 1D). There was a basal stratum composed of keratinocytes poorly organized and with round nuclei, as well as a basal membrane delimited with dense- looking fibrillary elements (Figure 1E). The underlying connective tissue had multiple gingival fibroblasts surrounded by irregularly arranged and densely distributed collagen fibers. Blood vessels were also seen. There were some inflammatory cells, but these did not have the distinctive appearance of an inflammatory infiltrate (Figures 1D, E and F).

Source: by authors
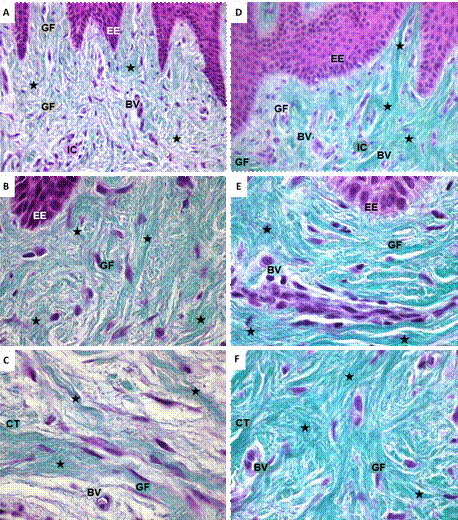
The histological assessment of gingival tissue samples colored with Masson-Goldner stain showed the presence of collagen fibers throughout the extent of the connective tissue accompanied by gingival fibroblasts and blood vessels (Figure 2). In the samples of the group of individuals without orthodontic apparatus, there were long, well-organized collagen fibers, many of them grouped into dense packages. Around these fibers, there were gingival fibroblasts and blood vessels (Figures 2A, B, C). In samples of orthodontic patients with GH, there were abundant collagen fibers organized into dense packages, randomly distributed throughout the connective tissue. The green color, which identifies tissue collagen, was more intense in the gingival sections of GH patients compared to those of patients with no orthodontics (Figures 2D, E, F).

Source: by authors
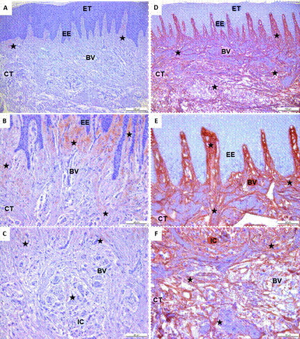
The immunohistochemical expression of type III collagen showed its distribution in gingival tissues of the studied patients (Figure 3). In healthy individuals or those with no orthodontic treatment, type III collagen was predominantly located in the adjacent area of the basal membrane, close to epithelial extensions. It was also observed around blood vessels (Figure 3A, B, C). On the other hand, in gingival tissue samples of orthodontic patients with GH, the distribution and location of type III collagen was also present near the basal lamina, around the blood vessels, but unlike the control group, it was located throughout the extent of the gingival connective tissue. Type III collagen in GH patients was organized into packages that were randomly distributed in the ECM of gingival connective tissue (Figures 3D, E, F). In general, type III collagen immunostaining showed a greater distribution in orthodontic patients with GH compared to gingival tissue samples from healthy individuals.

Source: by authors
GH is characterized by the presence of connective tissue rich in collagen fibers.20 The present study corroborated this connective tissue characteristic, particularly in orthodontic patients with GH. Despite having a reduced number of patients, the samples’ qualitative analysis identified collagen fibers organized into dense packages arranged in various directions of connective tissue in orthodontic patients with GH. These characteristics have already been described by Pêgo et al21 in GH tissues by transmission electron microscopy. However, in samples of orthodontic patients with GH, collagen density, particularly type III collagen, was especially visible. These findings are similar to those reported by Romanos et al,22 who used immunofluorescence techniques and found abundant presence of type III collagen in the gingival tissues of GH patients.
The histopathological analysis in orthodontic patients with GH showed a keratinized epithelial tissue and multiple fused epithelial extensions that penetrate the underlying connective tissue. These results agree with those of Pascu et al,23 who evaluated gingival tissues of three patients who developed GH by using orthodontic appliances, finding out a predominantly parakeratinized epithelium with areas of acanthosis, and large epithelial extensions penetrating the connective gingival tissue. The connective tissue of GH patients evaluated in this study suggests the presence of gingival fibroblasts of fusiform aspects, blood vessels and inflammatory cells in various areas of connective tissue. These findings are similar to those reported by Surlin et al24 and Jadhav et al,25 who also reported a diffuse mixture of dense collagen beams interspersed with variable amounts of fundamental substance.
The reason for a likely increase or accumulation of collagen fibers in the gingival connective tissue of GH patients is unclear and controversial. Kantarci et al26 found increased mitotic activity of gingival fibroblasts, accompanied by decreased apoptosis, while Meng et al27 found a normal or even decreased rate of mitotic activity of gingival fibroblasts. The loss of ECM homeostasis in orthodontic patients with GH shown as a higher deposit of type III collagen is perhaps the result of the imbalance between collagen secretion by gingival fibroblasts and the decrease in degradation activity of the extracellular matrix exerted by matrix metalloproteinases (MMP-1, MMP-2, MMP-3).18 Various studies have linked the increase in the function and production of fibroblasts with different specific cytosines and receptors. In fact, high levels of transforming growth factor beta 1 (TGF-β1) have been reported in patients with GH, which induces increased levels of connective tissue growth factor (CTGF) and this in turn stimulates collagen production by gingival fibroblasts.28
According to the bibliographic review carried out by the authors of the present study, this is apparently the first study that uses the immunohistochemistry technique to show a probable increase in the relative amount of type III collagen in gingival tissue samples of orthodontic patients with GH. However, these preliminary findings should be confirmed in future studies with a greater number of patients. Similarly, the probable increase of interstitial collagen in orthodontic patients with GH should be confirmed by measuring the gene expression levels of different types of collagen, including type III collagen, from gingival fibroblasts in cell culture studies. It would also be helpful to use immunofluorescence technique and polarized light microscopy to identify the presence of different types of collagen in gingival tissue. This could help improve the understanding of the pathological aspects involved in GH in orthodontic patients.
Type III collagen appears to be increased and have a wide distribution throughout the gingival connective tissue of orthodontic patients with GH compared to gingival tissues of individuals with no orthodontic treatment. Future studies in cellular models will be useful for clarifying the pathological aspects of gingival hypertrophy.
To the Bolívar Gana con Ciencia program of Colombia’s Bolívar State, and to Fundación Ceiba for the support to author V S-E.
1. Seixas MR, Costa-Pinto RA, Martins-Araujo T. Gingival esthetics: an orthodontic and periodontal approach. Dental Press J Orthod. 2012; 17(5): 190-201. DOI: 10.1590/S2176-94512012000500025
MR Seixas RA Costa-Pinto T Martins-Araujo Gingival esthetics: an orthodontic and periodontal approachDental Press J Orthod.201217519020110.1590/S2176-94512012000500025
2. Alnazeh A, Kamran MA, Alshahrani I, Ali AH, Saad OM, Fahad A. Effect of fixed orthodontic appliance therapy on periodontal health status of patients evaluated through community periodontal index. J Biol Regul Homeost Agents. 2020; 34(3). DOI: 10.23812/20-154-L-27
A Alnazeh MA Kamran I Alshahrani AH Ali OM Saad A Fahad Effect of fixed orthodontic appliance therapy on periodontal health status of patients evaluated through community periodontal indexJ Biol Regul Homeost Agents.202034310.23812/20-154-L-27
3. Rodríguez Vásquez AG, Fernández García LK, Valladares Trochez EH. Prevalencia de agrandamiento y retracción gingival en pacientes con tratamiento de ortodoncia. Portal de la ciencia. 2018; 13: 21-31. DOI: 10.5377/pc.v13i0.5918
AG Rodríguez Vásquez LK Fernández García EH Valladares Trochez Prevalencia de agrandamiento y retracción gingival en pacientes con tratamiento de ortodonciaPortal de la ciencia.201813213110.5377/pc.v13i0.5918
4. Campolo González A, Nuñez Castañeda L, Romero Romano P, Rodriguez Schneider A, Fernandez Toro M, Donoso Hofer F. Agrandamiento gingival por ciclosporina: reporte de un caso. Rev Clin Periodoncia Implantol Rehabil Oral. 2016; 9(3): 226-30. DOI: 10.1016/j.piro.2015.05.002
A Campolo González L Nuñez Castañeda P Romero Romano A Rodriguez Schneider M Fernandez Toro F Donoso Hofer Agrandamiento gingival por ciclosporina: reporte de un casoRev Clin Periodoncia Implantol Rehabil Oral20169322623010.1016/j.piro.2015.05.002
5. Hasan S, Khan NI, Reddy LB. Leukemic gingival enlargement: Report of a rare case with review of literature. Int J App Basic Med Res. 2015; 5(1): 65 - 67. DOI: 10.4103/2229-516X.149251
S Hasan NI Khan LB Reddy Leukemic gingival enlargement: Report of a rare case with review of literatureInt J App Basic Med Res20155165 6710.4103/2229-516X.149251
6. Stern J, Stern I, De Rossi S, Zemse S, Abdelsayed R. Kaposi sarcoma presenting as “diffuse gingival enlargement”: report of three cases. HIV AIDS Rev. 2016; 15(2): 80-7. DOI: 10.1016/j.hivar.2016.04.001
J Stern I Stern S De Rossi S Zemse R Abdelsayed Kaposi sarcoma presenting as “diffuse gingival enlargement”: report of three casesHIV AIDS Rev.2016152808710.1016/j.hivar.2016.04.001
7. Manzur-Villalobos I, Díaz-Rengifo IA, Manzur-Villalobos D, Díaz-Caballero AJ. Agrandamiento gingival farmacoinducido: serie de casos. Univ Salud. 2018; 20(1): 89-96. DOI: 10.22267/rus.182001.113
I Manzur-Villalobos IA Díaz-Rengifo D Manzur-Villalobos AJ Díaz-Caballero Agrandamiento gingival farmacoinducido: serie de casosUniv Salud.2018201899610.22267/rus.182001.113
8. Cacciola D, Muñoz G. Relación entre periodoncia y ortodoncia: complicaciones gingivales y efectos del tratamiento ortodóntico en el periodonto. Revista Biociencias. 2018; 13(2).
D Cacciola G Muñoz Relación entre periodoncia y ortodoncia: complicaciones gingivales y efectos del tratamiento ortodóntico en el periodontoRevista Biociencias.2018132
9. Zanatta FB, Ardenghi TM, Antoniazzi RP, Pinto TMP, Rosing CK. Association between gingivitis and anterior gingival enlargement in subjects undergoing fixed orthodontic treatment. Dental Press J Orthod. 2014; 19(3): 59-66. DOI: 10.1590/2176-9451.19.3.059-066.oar
FB Zanatta TM Ardenghi RP Antoniazzi TMP Pinto CK Rosing Association between gingivitis and anterior gingival enlargement in subjects undergoing fixed orthodontic treatmentDental Press J Orthod.2014193596610.1590/2176-9451.19.3.059-066.oar
10. Hosadurga R, Nabeel Althaf MS, Hegde S, Rajesh KS, Arun Kumar MS. Influence of sex hormone levels on gingival enlargement in adolescent patients undergoing fixed orthodontic therapy: a pilot study. Contemp Clin Dent. 2016; 7(4): 506-11. DOI: 10.4103/0976-237X.194099
R Hosadurga MS Nabeel Althaf S Hegde KS Rajesh MS Arun Kumar Influence of sex hormone levels on gingival enlargement in adolescent patients undergoing fixed orthodontic therapy: a pilot studyContemp Clin Dent.20167450651110.4103/0976-237X.194099
11. Kapadia JM, Agarwal AR, Mishra S, Joneja P, Yusuf AS, Choudhary DS. Cytotoxic and genotoxic effect on the buccal mucosa cells of patients undergoing fixed orthodontic treatment. J Contemp Dent Pract. 2018; 19(11): 1358-62. DOI: 10.5005/jp-journals-10024-2432
JM Kapadia AR Agarwal S Mishra P Joneja AS Yusuf DS Choudhary Cytotoxic and genotoxic effect on the buccal mucosa cells of patients undergoing fixed orthodontic treatmentJ Contemp Dent Pract.201819111358136210.5005/jp-journals-10024-2432
12. Gómez Arcila V, Mercado Camargo J, Herrera Herrera A, Fang Mercado L, Díaz Caballero A. Níquel en cavidad oral de individuos con agrandamiento gingival inducido por tratamiento ortodóncico. Rev Clin Periodoncia Implantol Rehabil Oral . 2014; 7(3): 136-41. DOI: 10.1016/j.piro.2014.06.002
V Gómez Arcila J Mercado Camargo A Herrera Herrera L Fang Mercado A Díaz Caballero Níquel en cavidad oral de individuos con agrandamiento gingival inducido por tratamiento ortodóncicoRev Clin Periodoncia Implantol Rehabil Oral20147313614110.1016/j.piro.2014.06.002
13. Drăghici EC, CrăiŢoiu Ş, MercuŢ V, Scrieciu M, Popescu SM, Diaconu OA, et al. Local cause of gingival overgrowth. Clinical and histological study. Rom J Morphol Embryol. 2016; 57(2): 427-35.
EC Drăghici Ş CrăiŢoiu V MercuŢ M Scrieciu SM Popescu OA Diaconu Local cause of gingival overgrowth. Clinical and histological studyRom J Morphol Embryol.2016572427435
14. Şurlin P, Rauten AM, Pirici D, Oprea B, Mogoantă L, Camen A. Collagen IV and MMP-9 expression in hypertrophic gingiva during orthodontic treatment. Rom J Morphol Embryol. 2012; 53(1): 161-5.
P Şurlin AM Rauten D Pirici B Oprea L Mogoantă A. Camen Collagen IV and MMP-9 expression in hypertrophic gingiva during orthodontic treatmentRom J Morphol Embryol.2012531161165
16. Redlich M, Shoshan S, Palmon A. Gingival response to orthodontic force. Am J Orthod Dentofacial Orthop. 1999; 116(2): 152-58. DOI: 10.1016/s0889-5406(99)70212-x
M Redlich S Shoshan A. Palmon Gingival response to orthodontic forceAm J Orthod Dentofacial Orthop.1999116215215810.1016/s0889-5406(99)70212-x
17. Gawron K, Ochała-Kłos A, Nowakowska Z, Bereta G, Łazarz-Bartyzel K, Grabiex A et al. TIMP-1 association with collagen type I overproduction in hereditary gingival fibromatosis. Oral Dis. 2018; 24(8): 1581-90. DOI: 10.1111/odi.12938
K Gawron A Ochała-Kłos Z Nowakowska G Bereta K Łazarz-Bartyzel A Grabiex TIMP-1 association with collagen type I overproduction in hereditary gingival fibromatosisOral Dis.20182481581159010.1111/odi.12938
18. Martelli-Junior H, Cotrim P, Graner E, Sauk JJ, Coletta RD. Effect of transforming growth factor-beta1, interleukin-6, and interferon-gamma on the expression of type I collagen, heat shock protein 47, matrix metalloproteinase (MMP)-1 and MMP-2 by fibroblasts from normal gingiva and hereditary gingival fibromatosis. J Periodontol. 2003; 74(3): 296-306. DOI: 10.1902/jop.2003.74.3.296
H Martelli-Junior P Cotrim E Graner JJ Sauk RD Coletta Effect of transforming growth factor-beta1, interleukin-6, and interferon-gamma on the expression of type I collagen, heat shock protein 47, matrix metalloproteinase (MMP)-1 and MMP-2 by fibroblasts from normal gingiva and hereditary gingival fibromatosisJ Periodontol.200374329630610.1902/jop.2003.74.3.296
19. Carlson R, Boyd K, Webb D. The revision of the Declaration of Helsinki: past, present and future. Br J Clin Pharmacol. 2004; 57(6); 695-713. DOI: 10.1111/j.1365-2125.2004.02103.x
R Carlson K Boyd D Webb The revision of the Declaration of Helsinki: past, present and futureBr J Clin Pharmacol.200457669571310.1111/j.1365-2125.2004.02103.x
20. Ramirez A, Brunet L, Lahor E, Miranda J. On the cellular and molecular mechanisms of drug-induced gingival overgrowth. Open Dent J. 2017; 11: 420-35. DOI: 10.2174/1874210601711010420
A Ramirez L Brunet E Lahor J Miranda On the cellular and molecular mechanisms of drug-induced gingival overgrowthOpen Dent J.20171142043510.2174/1874210601711010420
21. Pego S, De Faria P, Santos L, Coletta R, De Aquino S, Martelli-Junior H. Ultrastructural evaluation of gingival connective tissue in hereditary gingival fibromatosis. Oral Surg Oral Med Oral Pathol Oral Radiol. 2016; 122(1): 81-2. DOI: 10.1016/j.oooo.2016.04.002
S Pego P De Faria L Santos R Coletta S De Aquino H Martelli-Junior Ultrastructural evaluation of gingival connective tissue in hereditary gingival fibromatosisOral Surg Oral Med Oral Pathol Oral Radiol.20161221818210.1016/j.oooo.2016.04.002
22. Romanos GE, Schroter-Kermani C, Hinz N, Herrmann D, Strub JR, Bernimoulin JP. Extracellular marix analysis of nidefipine-induced gingival overgrowth: immunohistochemical distribution of different collagen types as well as the glycoprotein fibronectin. J. Periodont Res. 1993; 28(1): 10-6. DOI: https://doi.org/10.1111/j.1600-0765.1993.tb01044.x
GE Romanos C Schroter-Kermani N Hinz D Herrmann JR Strub JP Bernimoulin Extracellular marix analysis of nidefipine-induced gingival overgrowth: immunohistochemical distribution of different collagen types as well as the glycoprotein fibronectinJ. Periodont Res.19932811016https://doi.org/10.1111/j.1600-0765.1993.tb01044.x
23. Pascu E, Psoschi C, Andrei A, Munteanu M, Rauten A, Scrieciu M et al. Heterogeneity of collagen secreting cells in gingival fibrosis: an immunohistochemical assessment and a review of the literature. Rom J Morphol Embryol. 2015; 56(1): 49-61.
E Pascu C Psoschi A Andrei M Munteanu A Rauten M Scrieciu Heterogeneity of collagen secreting cells in gingival fibrosis: an immunohistochemical assessment and a review of the literatureRom J Morphol Embryol.20155614961
24. Surlin P, Rauten AM, Mogoanta L, Silosi I, Oprea B, Pirici D. Correlations between the gingival crevicular fluid MMP8 levels and gingival overgrowth in patients with fixed orthodontic devices. Rom J Morphol Embryol. 2010; 51(3): 515-9.
P Surlin AM Rauten L Mogoanta I Silosi B Oprea D Pirici Correlations between the gingival crevicular fluid MMP8 levels and gingival overgrowth in patients with fixed orthodontic devicesRom J Morphol Embryol.2010513515519
25. Jadhav T, Bhat KM, Bhat GS, Varghese JM. Chronic inflammatory gingival enlargement associated with orthodontic therapy: a case report. J Dent Hyg. 2013; 87(1): 19-23.
T Jadhav KM Bhat GS Bhat JM Varghese Chronic inflammatory gingival enlargement associated with orthodontic therapy: a case reportJ Dent Hyg.20138711923
26. Kantarci A, Augustin P, Firatli E, Sheff MC, Hasturk H, Graves DT et al. Apoptosis in gingival overgrowth tissues. J Dent Res. 2007, 86(9): 888-92. DOI: 10.1177/154405910708600916
A Kantarci P Augustin E Firatli MC Sheff H Hasturk DT Graves Apoptosis in gingival overgrowth tissuesJ Dent Res.200786988889210.1177/154405910708600916
27. Meng L, Huang M, Ye X, Fan M, Bian Z. Increased expression of collagen prolyl 4-hydroxylases in Chinese patients with hereditary gingival fibromatosis. Arch Oral Biol. 2007; 52(12): 1209-14. DOI: 10.1016/j.archoralbio.2007.07.006
L Meng M Huang X Ye M Fan Z Bian Increased expression of collagen prolyl 4-hydroxylases in Chinese patients with hereditary gingival fibromatosisArch Oral Biol.200752121209121410.1016/j.archoralbio.2007.07.006
28. Chen JT, Wang CY, Chen MH. Curcumin inhibits TGF-β1-induced connective tissue growth factor expression through the interruption of Smad2 signaling in human gingival fibroblasts. J Formos Med Assoc. 2018; 117(12): 1115-23. DOI: 10.1016/j.jfma.2017.12.014
JT Chen CY Wang MH Chen Curcumin inhibits TGF-β1-induced connective tissue growth factor expression through the interruption of Smad2 signaling in human gingival fibroblastsJ Formos Med Assoc.2018117121115112310.1016/j.jfma.2017.12.014
[1]Simancas-Escorcia V, Leal-Betancur J, Diaz-Caballero A. Expression of type III collagen in hypertrophic gingival tissue of patients with orthodontic treatment: a pilot study. Rev Fac Odontol Univ Antioq. 2020; 32(2): 53-63. DOI: http://dx.doi.org/10.17533/udea.rfo.v32n2a5